Services

Full Mouth Reconstruction

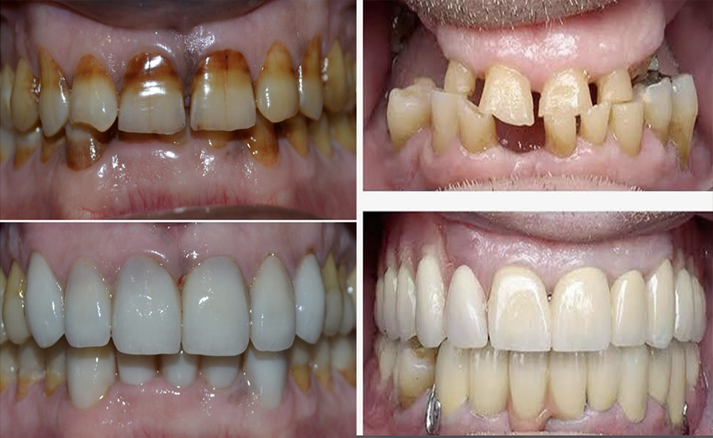
Home Our Services Full Mouth Reconstruction

Full Mouth Reconstruction

Comprehensive rebuilding of your entire smile. This service is for patients with multiple complex dental issues (missing teeth, severe wear, extensive decay). We combine various restorative and cosmetic procedures (like implants, crowns, and bridges) into a single, unified plan to completely restore function, comfort, and aesthetics.

Contact Us